Mein Leben mit Katzen
(weiblich, rechtshändig, Östrogen Dominanz)
Vorausschicken möchte ich, dass wir in meinem Elternhaus immer Haustiere hatten, sowohl Katzen als auch Hunde. Als ich 7 war, hat mein Vater einen süßen Terrier nach Hause mitgebracht. Wir nannten ihn Bim und mit ihm bin ich aufgewachsen. Als ich 20 wurde, ist er gestorben. Das hat sehr weh getan, ich weinte einen Monat lang… Dann konnte ich mich beruhigen, aber ich hatte mir geschworen nie wieder ein Haustier zu haben, da ich nicht bereit war, den unvermeidlichen Verlustschmerz wieder durchstehen zu müssen.
So hatte ich sehr lange Zeit keine Haustiere mehr, bis meine 9-jährige Tochter eines Tages von der Schule nach Hause kam und mir sagte, dass sie sich so sehr ein Kätzchen wünscht und dass die Katze einer Schulkameradin trächtig war. Die Schulkameradin hatte auch gefragt, ob jemand ein Kätzchen möchte.
Die Bitte meiner Tochter konnte ich nicht ausschlagen, da ich sehr gut wusste, was so ein Haustier für ein Kind bedeutet und wieviel Freude es bereiten kann.
So kam ein süßes 10 Wochen altes pechschwarzes Kätzchen zu uns nach Hause. Nach sehr langem Überlegen hat er den Namen Timofej erhalten, kurz Tischka.
Da ich von zu Hause arbeite, ist die ganze mütterliche Pflege des doch sehr kleinen Katerchens bei mir gelandet. Ich habe ihn die ersten Tage bemuttert, wo er sich doch so alleine ohne seiner Mutter gefühlt hatte, und - als er sich eingewöhnt hatte - mit ihm gespielt, weil ihm langweilig war… bis er müde wurde und er mich arbeiten ließ und… und… und…
Kurz gesagt, wir waren zu zweit den ganzen Tag zu Hause und haben dadurch eine sehr enge Bindung zueinander aufgebaut.
So war fast ein Jahr vergangen. Tischka war inzwischen zu einem großen schönen Kater mit einem wunderschön glänzenden schwarzen Fell herangewachsen. Obwohl er Freigänger war, haben wir unsere Bindung nicht verloren. Nach jedem Streifzug eilte er zu mir, um mir über seine Abenteuer zu erzählen.
Am 18.05.2015 wurde Tischka überfahren. Ein Schock! Zu diesem Zeitpunkt war mein Mann auf Geschäftsreise und die Seelen-Last mit meiner kleinen Tochter zu teilen ging nicht. Somit war ich absolut isoliert. In den 5 Tagen, bis mein Mann von der Geschäftsreise zurück kam, hatte ich nichts gegessen und 6 Kilo abgenommen. Da ich die Germanische schon kannte, wusste ich, dass ich definitiv einen Biologischen Konflikt erlitten habe. Ich wusste nur nicht, was es genau war. Fast genau nach einem Jahr hatte ich den Konflikt gelöst und die Symptome traten auf.
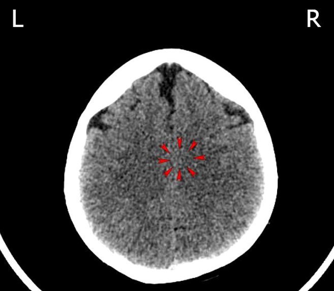
Hier sind Auszüge von den Briefen, die ich an Dr. Hamer schrieb. (Er hatte damals mein Gehirn-CT angeschaut und mir gesagt, dass es sich um ein intraduktales Geschehen handelt. Als ich sagte, dass hier nur Tischkas Tod in Frage kommt, war er wegen der doch sehr langen Konfliktdauer zuerst nicht sicher, aber ich hatte ja auch ein CT von 2015, das ich kurz nach Tischkas Tod gemacht habe. Damit konnten wir den Konfliktverlauf verifizieren, da im CT von 2015 ein aktiver HH für die linke Brust zu sehen ist):
Auszug des Briefes an Dr. Hamer vom Juni 2016:
… Kurz noch zu dem Konfliktverlauf:
Mit meinem Katerchen Tischka hatte ich eine ganz enge Bindung aufgebaut. Er war auch "mein Kater" - folgte mir immer auf Schritt und Tritt. Sogar meine Tochter war eifersüchtig auf Tischka.
Nun wurde er leider nur 10 Monate alt. Am 18.05.2015 wurde er überfahren. Das war ein ganz großer Schock für mich. Erschwerend kam hinzu, dass mein Mann zu diesem Zeitpunkt auf einer Geschäftsreise war.
Wenn meine Tochter zur Schule ging und ich alleine zu Hause war, habe ich vor seelischen Schmerz geschrien.... Dann saß ich oft vor dem Küchenfenster, habe in das üppige Grün des Gartens rausgeschaut und geweint.
Damals wußte ich schon, dass es mich erwischt hatte, ich wußte nur nicht wie genau (ich studiere ja die Germanische schon seit 2009).
Wir haben uns auch ganz schnell die Katzenschwesterchen geholt. Mein Studentenmädchen, mein Mann, meine Tochter und unser Katzenpärchen haben mir dann geholfen den Konflikt runter zu transformieren.
In diesem Jahr (2016) gegen Mitte Mai hatte ich beim Betrachten des üppigen Grüns des Gartens mehrere Male den Gedanken, daß Tischkas Tod nicht mehr so weh tut wie damals, nur eine leise Traurigkeit war geblieben.
Gegen Ende Mai hatte ich den Knoten in meiner linken Brust entdeckt (ca. 4x3 cm.). Fast gleichzeitig mit dem Entdecken des Knotens hatte ich auch leichte Missempfindungen in der Brust gespürt.
Mittlerweile ist ein Monat vergangen, die Missempfindungen (Kitzeln, leichtes Jucken und Ziehen, leichte Druckempfindlichkeit) in der Brust haben zugenommen. Die Größe des Knotens, soweit ich es beurteilen kann, ist konstant geblieben. Schwellung habe ich keine. …
Auszug des Briefes an Dr. Hamer vom Dezember 2016:
… Wie gesagt von dem Knoten ist nur eine kleine Verhärtung knapp unterhalb der Brustwarze geblieben. Auch, wenn diese Verhärtung bleibt, stört es mich nicht weiter. …
Auszug des Briefes an Dr. Hamer vom Februar 2017:
… P.S. Die kleine Rest-Verhärtung in meiner Brust, die noch Ende Dezember zu spüren war, ist nun komplett weg :-) Die Brust ist jetzt so, wie sie war. Nichts ist von dem großen Knoten geblieben.
Und, was mich fasziniert - ich hatte überhaupt keine Komplikationen oder größere Symptome. Wahrscheinlich, weil ich immer Studentenmädchen höre und sehr großen Rückhalt in meiner Familie (mein Mann und meine Tochter) habe :-) …
***
Wir hatten damals, im Oktober 2015, 2 Katzenschwesterchen zu uns geholt: Tigra und Aska. Sie wollte ich nicht mehr freilaufen lassen. Sie haben mir auch geholfen über den Tod meines Tischkas hinweg zu kommen.
Da wir die Germanische kennen, wurden alle unsere Katzen nicht geimpft. Tischka war auch nicht kastriert gewesen. Anfangs wollten wir auch Tigra und Aska die Kastration ersparen, doch hat es sich als sehr schwierig herausgestellt. Nach langem hin und her bei der Rolligkeit der Katzen, haben wir uns doch entschieden die Katzen kastrieren zu lassen.
Wir wollten aber jeder Katze noch ein Mutterglück gönnen. Leider wurde Aska nicht trächtig, dafür aber Tigra. Sie hat dann zu gegebener Zeit vier wunderschöne Kätzchen zur Welt gebracht.
***
Ursprünglich wollten wir nur ein Katerchen von dem Wurf bei uns lassen. Meine Tochter hat mich aber überredet noch ein weißes weibliches Kätzchen zu behalten. So wuchs unsere Katzenfamilie. Jetzt hatten wir Tigra, Aska, Mischka und Schuscha. Auch die Tante Aska hat sich liebevoll um die Kleinen gekümmert.
Am Anfang lief alles harmonisch zwischen unseren Katzen.
***
Unsere kleinen Banditen hatten sich jedoch angewöhnt sehr schnell ihre Schüssel leer zu fressen und zu Tante Aska zu laufen, damit sie ihr Fressen auch noch haben können. Aska hat sich dann zurückgezogen. Am Anfang dachte ich, es wird sich von alleine regeln. Leider war das nicht der Fall. Aska wurde verrückt… Sie hat angefangen ihr Revier zu markieren, was uns verständlicherweise keine Freude bereitete. Außerdem bat sie mich jeden Tag, dass ich sie in den kleinen Raum hinter die Schwingtür lasse, damit sie mit den Kleinen nichts zu tun haben muss. Dazu kam, dass sie sehr stark abgenommen hatte, sie war nur noch „ein Strich in der Landschaft“.
An diesem Punkt wußte ich, dass wir etwas tun müssen. Als erstes habe ich angefangen Aska beim Fressen zu beschützen. Ich musste regelrecht einen Monat lang beim Fressen der Katzen Wache stehen und die kleinen Banditen abwehren, bis sie sich zu benehmen gelernt hatten. Diese Maßnahme war aber nicht mehr ausreichend. So kam es, dass wir uns entschlossen, die Katzen wieder freilaufen zu lassen. Das würde eine Riesenveränderung der eingefahrenen Situation bedeuten und wir hofften, dass wir damit Aska die nötige Hilfe zum Lösen ihrer Konflikte bieten können.
***
Und tatsächlich - die Katzen hatten am Anfang zwar Angst, aber kamen sehr schnell auf Geschmack und wurden zu richtigen Freigängern, die auch fast jeden Tag Mäuse gefangen haben.
Unsere Kätzchen sind groß geworden und haben sich zu richtig schönen Prachtexemplaren entwickelt.
Die Situation mit Aska hat sich auch normalisiert. Sie konnte all ihre Konflikte lösen, hat wieder an Gewicht zugenommen und konnte sogar wieder mit den beiden kuscheln.
***
Januar 2019 wieder ein Schock: Mischka wurde überfahren! Seitdem lassen wir unsere Katzen nicht mehr frei laufen. Glücklicherweise haben wir ein großes Haus und sie sind nicht eingeengt, aber sie tun uns trotzdem leid. Nur leider sehen wir keinen Ausweg.
Unser Traum ist, unseren Lebensabend auf einem Hof weit weg von Straßen zu verbringen, wo wir unsere Katzen wieder frei laufen lassen können.
***
Jetzt habe ich in meinem Kopf zwei Grabsteine für meine “Kinder” Tischka und Mischka.
***
Kommentar von Ewa Leimer
Alle drei Ebenen (Psyche - Gehirn - Organ) waren bei diesem Fall abfragbar.
Wir danken für diesen klaren und nachvollziehbaren Bericht!
Man merkt sofort, dass er von einer Kennerin der Germanischen Heilkunde verfasst wurde.
Auch dieser Bericht zeigt, wie wichtig die Unterstützung der Familie im Leben ist, besonders im Verlauf eines SBS. Mit dieser Unterstützung bleibt die Panik fern und man kann in Ruhe und Geborgenheit den Verlauf des SBS bis zu seinem Ende abwarten (was nicht zwangsläfig "nichts tun" bedeutet, sondern auf die Symptome der jeweiligen Phase achten und das nötige im Sinne der Germanischen tun).
Wir müssen uns immer bewusst sein, dass wir auf unsere Familie, die auch die Germanische Heilkunde kennt, angewiesen sind!
Es ist nicht auszudenken, was passiert wäre, wenn die Autorin des Berichts das wohlwollende Verhalten ihrer Familie nicht als Unterstützung gehabt hätte und das Wissen der Germanischen Heilkunde nicht verinnerlicht gehabt hätte…
Leider kennen wir viele solche Beispiele, wo dies nicht der Fall ist.
Die Autorin des Berichts hat noch immer viele Katzen und lebt weiterhin im selben Haus. Es wäre also ganz verständlich, wenn sie ab und zu auch heute noch mit der bestimmten Schiene konfrontiert wäre.
Das letzte CT aus dem Jahr 2020 bestätigt diese Vermutung, aber zum Glück haben wir für solche Fälle „Mein Studentenmädchen“, das die Verfasserin des Erfahrungsberichts weiterhin täglich hört, besonders durchgehend nachts.













